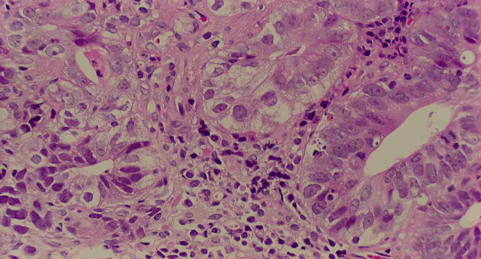
標本の説明


標本9


標本一覧に戻る