radiological images


放射線科画像(提供は荒木力先生 (東京大学医学部放射線学教室助教授)です)

fig.1(117KB) :Alveolar microlithiasis
細かい肺病変、air bronchogram。
fig.2(104KB) :気胸
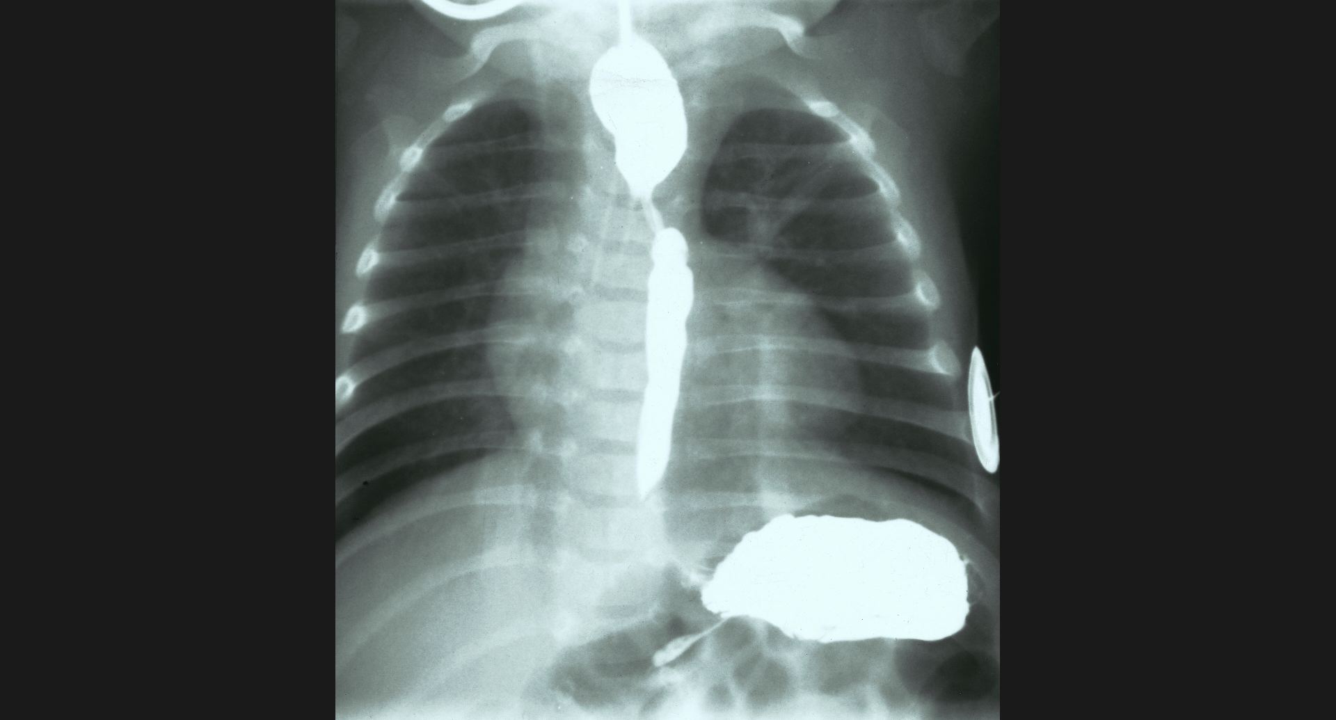
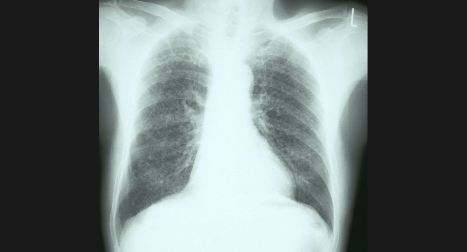
fig.3(105KB) :食道狭窄、肺炎
食道狭窄は、double aortic archによる。 肺炎は、造影の細かいところ。
fig.4(104KB) :新生児の気管狭窄
fig.5(93KB) :Post-plomboge chest
ピンポン玉、左肺上葉の細かい石灰巣。
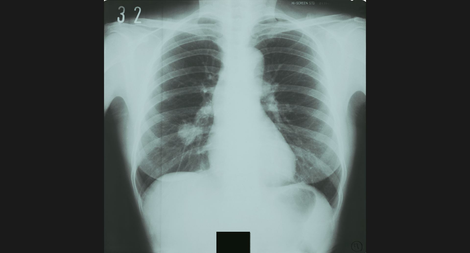
fig.6(97KB) :Alveolar proteinosis (tomography)
butterfly pattern, air bronchogram。
fig.7(86KB) :Lung tumor (hamartoma)
fig.8(87KB) :Lung abcess
cavity。
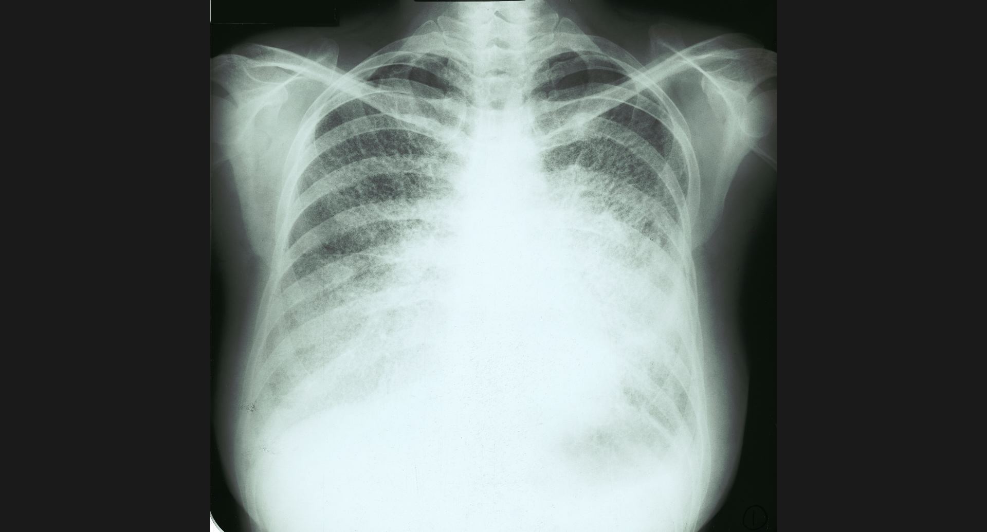
fig.9(94KB) :Pneumoconiosis
細かい斑状陰影。
fig.10(99KB) :SMA thrombosis (angiography)
閉塞部位。腸管壁の細かい動脈。
fig.11(59KB) :IVC stenosis (cavography), lateral view
collateral vein。狭窄。
fig.12(73KB) :LC (arterial portography)
fig.13(151KB) :Aortic aneurysm (DSA)
aneurysm。正常部との境界。
fig.14(77KB) :Phantom disc
disc内の透亮像。spur。
fig.15(55KB) :Fibrous dysplasia
骨頭のtrabeculation。病変部。
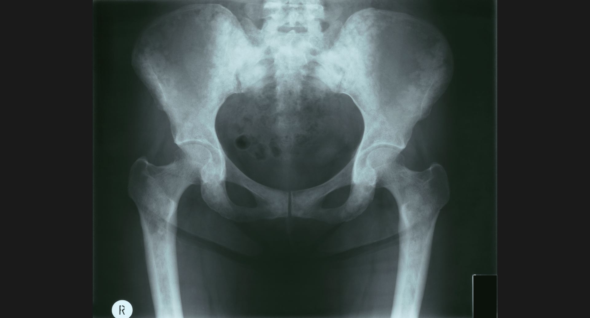
fig.16(93KB) :Osteoblastic metastases (骨盤)
fig.17(81KB) :Acro-osteolysis
radius遠位端の骨梁。骨融解部。
fig.18(70KB) :Marble bone
古い骨折部にも注目。
fig.19(60KB) :Histiocytosis

種類選択画面に戻る